← Back to Newsletter Archive

Greetings!

Welcome to the QPS Pharmacology Newsletter


This month, sign up for the QPS sponsored “EndPoints at #ESMO25” virtual event, explore QPS pharmacology NASH models, and stay ahead of the curve with the latest scientific breakthroughs on the QPS blog.



Your Front-Row Seat to the Future of Oncology

QPS is proud to sponsor the "EndPoints at ESMO25" virtual event, a must-attend session for anyone passionate about the latest news and innovations in oncology treatment.

 

Date: October 22, 2025

Time: 10:30 AM - 12:30 PM ET

Location: Virtual (join from anywhere)

Cost: Free

Thousands of cancer treatment experts are gathering in Berlin to discuss the latest therapeutic advances in oncology. The EndpointsNews team will be on the ground to sift through the data and talk to experts. During this event, you can expect to hear expert insights about cutting-edge developments, and a powerful look at what’s next in oncology.

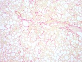
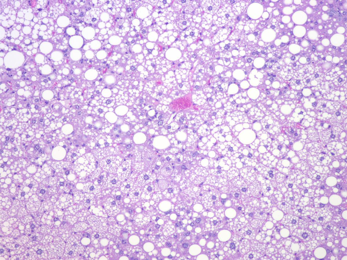
Explore the NEW QPS MASH Pharmacology Models

Metabolic Dysfunction-Associated Steatohepatitis (MASH), formerly Nonalcoholic Steatohepatitis (NASH), is a severe form of Nonalcoholic Fatty Liver Disease (NAFLD). There is a significant unmet need for new therapies to treat this debilitating disease. QPS has developed mouse models to support new drug development in this area.


QPS Model #1: Western Diet and Sugar Water-induced MASH Model


  • Male C57BL/6J mice will be fed a Western diet and sugar water for 28 weeks. The treatment of vehicle, test article or reference drugs will occur from Week 16 to Week 28.


  • Parameters to be evaluated: Body Weight, Serum Chemistry, Liver Weight, Liver histopathology (NAFLD activity score, liver fibrosis).

Contact QPS Today to Start Your Next MASH Study

Download the White Paper


Choosing the Right Imaging Method to Produce Tissue Distribution Data

Discover the Future of Science on the QPS Blog

Flossing for Immunity: How Dental String Could Deliver Future Vaccines

 

Researchers have discovered a surprising way to deliver vaccines: with dental floss. The idea came in response to a long-standing challenge in medicine—how to deliver vaccines via mucosal tissues such as the mouth and nose.


Early Human Tests

Pharmacology Services at QPS

AI Model Cracks the Code for Drug Design 



Drug discovery has long been a gamble—slow, costly, and plagued by high failure rates. Researchers spend years screening libraries of molecules, hoping to stumble upon one that fits the lock of a disease-causing protein...

 

From Noise to Novel Drugs

Oncology Research at QPS

Connect with the Experts at QPS


Request a meeting with the QPS bioanalysis, preclinical and clinical research experts to learn more about our capabilities as a full-service, global CRO. 

Visit our website www.qps.com 

or contact us at infopr@qps.com

for an appointment.

Linkedin  Youtube  Twitter  Facebook  

www.qps.cominfopr@qps.com

We use your email address exclusively for sending QPS newsletters with a special e-mail program. If you no longer wish to receive any mailings, simply use the "unsubscribe" link at the bottom. If you don't unsubscribe, we assume that this consent also applies to the system of the GDPR. (Data protection notice: According to Art. 7 GDPR, the consent can of course also be withdrawn at any time after May 25, 2018.)
← Back to Newsletter Archive